|
They put an external fixator on my arm to keep the proper alignment for healing. Unfortunatrely, one of the screws came loose and they have to operate again. Several work colleagues had suspected that I had a screw loose for some time. |

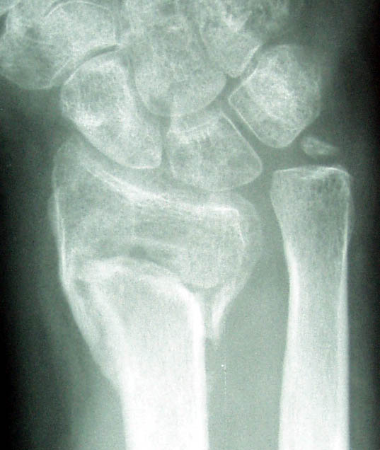
| Here is the x-ray. You can see how the pins are screwed into the bone. You can also see how end of the radius is collapsed. |
|
Here is the arm a week after the second surgery. Note the incision from the bone graft. |
| Here are before and after xrays. Note that there is now more space between the arm bones and the wrist bones. | |
Before | After |
![]() |
|
|
In fact, the doc thought there was a bit too much space so he decided to move the gadget screwed into my wrist back on the bar a millimeter or so. To do this, he used a cute gadget that clamps onto the rod and then provides a screw adjustment, one mm per turn. |
|
There is a chunk of displaced bone on the end of the raduis on the palm side. The surgeon decided to leave it alone to minimize the amount of cutting he did. I hope it doesn't give me trouble in the future. |
|
After a couple of months of healing, the doctor decided that the bone graft could use some help. I now have a bone growth stimulator that I wear 24x7. It sets up an electric field to encourage the litle osteoblasts to turn to bone. It eats one 9V battery per day. They provide their own private label batteries. |
| The electrodes have a sticky gel on them. They are placed on either side of my arm with the bone graft in between. |
| There are flesh colored covers that are sort of waterproof that cover the electrodes. With these on, I can shower (I disconnect the power unit when I'm taking a shower). |
|
A couple of weeks ago, we removed extrnal fixator. The x-rays didn't show a lot of calcium in the joint, but there seems to be plenty of strength. In the picture below you can see where the pins went into the arm and hand. The scar from the graft is healing nicely. I'm still wearing the stimulator, but took this picture when I was changing electrodes |
|
Here are two xrays, one taken just after the surgery and one last week. Note that there is quite a bit of fill in at the end of the radius, but still a bit to go. I've stopped using the bone growth stimulator, but keeping it in case next January's xrays don't look better. | |
![]() | ![]() |
| June 25 | November 19 |